Akciğer Kanseri Nedir?
Akciğer kanseri, akciğerlerde kontrolsüz hücre büyümesi sonucu oluşan bir tür kanserdir. Genellikle sigara içmek gibi risk faktörleri ile ilişkilidir, ancak sigara içmeyenlerde de görülebilir. Erken teşhis edilmediğinde, akciğer kanseri ilerleyebilir ve tedavi edilmesi zor olabilir. Bu nedenle, belirtileri tanımak ve risk faktörlerini azaltmak önemlidir.
Belirtiler
Akciğer kanserinin belirtileri genellikle ileri evrelerde ortaya çıkar. Bunlar arasında sürekli öksürük, kan tükürme, nefes darlığı, göğüs ağrısı, hırıltılı solunum, yorgunluk ve kilo kaybı bulunur. Bu belirtiler her zaman akciğer kanseri anlamına gelmez, ancak risk faktörleriniz varsa veya belirtileriniz varsa doktorunuza danışmak önemlidir.
Risk Faktörleri
Akciğer kanserinin en yaygın risk faktörü sigara içmektir. Ancak, sigara içmeyenlerde de görülebilir. Diğer risk faktörleri arasında pasif içicilik (sigara dumanına maruz kalma), hava kirliliği, radyasyon maruziyeti, ağır metallerin inhalasyonu, ailesel yatkınlık ve bazı mesleki maruziyetler bulunmaktadır. Risk faktörlerini azaltmak için sigarayı bırakmak, sağlıklı bir yaşam tarzı benimsemek ve zararlı maddelere maruziyeti en aza indirmek önemlidir.
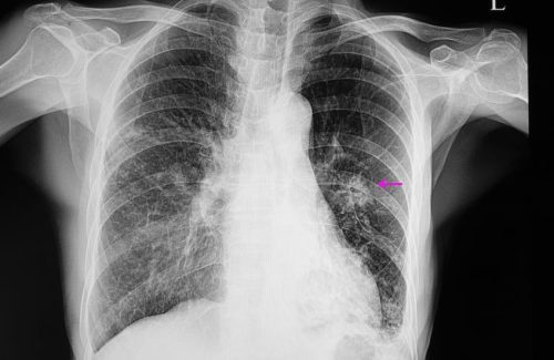
Teşhis ve Tedavi
Akciğer kanseri teşhisi genellikle görüntüleme testleri (örneğin, bilgisayarlı tomografi veya BT taraması) ve biyopsi ile konulur. Tedavi seçenekleri tümörün tipine, evresine ve hastanın genel sağlık durumuna bağlı olarak değişir. Tedavi seçenekleri arasında cerrahi müdahale, kemoterapi, radyoterapi ve hedefe yönelik ilaç tedavisi bulunmaktadır. Erken teşhis, tedavi seçeneklerini ve hastalıkla başa çıkma şansını artırabilir.
Önleme
Akciğer kanserini önlemek için en etkili yöntem sigara içmeyi bırakmaktır. Ayrıca, sigara dumanına maruz kalmaktan kaçınmak, hava kirliliğine maruz kalmayı azaltmak ve sağlıklı bir yaşam tarzı benimsemek de önemlidir. Düzenli egzersiz yapmak, dengeli beslenmek ve düzenli tıbbi kontrolleri ihmal etmemek akciğer kanseri riskini azaltmaya yardımcı olabilir.
Sonuç
Akciğer kanseri ciddi bir hastalıktır, ancak erken teşhis ve uygun tedavi ile başa çıkılabilir. Belirtileri tanımak, risk faktörlerini azaltmak ve düzenli tıbbi kontrolleri yapmak, sağlıklı bir yaşam sürmek için önemlidir. Herhangi bir endişe durumunda doktorunuza danışmanız önemlidir.



