Osteosarkom Nedir?
Osteosarkom, kemik dokusundan kaynaklanan nadir bir kanser türüdür. Genellikle uzuvlarda bulunan büyüme plaklarının yakınında veya büyüme plaklarında gelişir. Osteosarkom genellikle çocuklar ve gençlerde ortaya çıkar, ancak yetişkinlerde de görülebilir. Osteosarkom, genellikle ağrı, kemik zayıflığı ve kırıklar gibi semptomlarla kendini gösterir.
Belirtiler
Osteosarkomun belirtileri arasında şunlar bulunabilir:
Ağrı: Osteosarkom genellikle etkilenen bölgede ağrıya neden olur. Bu ağrı genellikle dinlenme sırasında veya gece daha belirgin olabilir.
Şişlik: Osteosarkomun olduğu bölgede şişlik veya kitle hissedilebilir.
Kemik zayıflığı: Kemiklerin zayıflığına bağlı olarak kırılma riski artabilir.
Hareket kısıtlılığı: Osteosarkom, etkilenen bölgede hareket kısıtlılığına neden olabilir.
Diğer belirtiler: Ateş, halsizlik ve kilo kaybı gibi genel belirtiler de görülebilir.
Risk Faktörleri
Osteosarkomun kesin nedeni belirlenmemiştir, ancak bazı risk faktörleri vardır. Bunlar arasında genetik faktörler, radyasyon maruziyeti, kemoterapi tedavisi, Paget hastalığı gibi kemik hastalıkları ve bazı genetik sendromlar bulunmaktadır.
Teşhis ve Tedavi
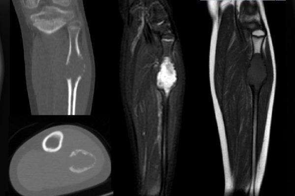
Osteosarkom teşhisi genellikle röntgen, manyetik rezonans görüntüleme (MRG) veya bilgisayarlı tomografi (BT) taramaları ve biyopsi ile konulur. Tedavi genellikle kemoterapi, cerrahi müdahale ve radyoterapiyi içerir. Erken teşhis ve agresif tedavi, prognozu olumlu yönde etkileyebilir.
Önleme
Osteosarkomun spesifik önleme yöntemleri bulunmamaktadır. Ancak genel olarak sağlıklı bir yaşam tarzı benimsemek, düzenli egzersiz yapmak, dengeli beslenmek ve kemik sağlığını desteklemek önemlidir.
Sonuç
Osteosarkom, nadir görülen ancak ciddi bir kanser türüdür. Erken teşhis ve uygun tedavi, hastalığın prognozunu iyileştirebilir. Herhangi bir belirti veya endişe durumunda bir doktora başvurmak önemlidir. Hastalığın tanısı, tedavisi ve takibi uzman bir onkolog tarafından yapılmalıdır.



